Первые признаки онкологического заболевания пациент стал отмечать осенью 2020 года. Его беспокоили:
Первоначальный диагноз, установленный в клинике Ивановской области, по месту жительства пациента, где тот проходил амбулаторное лечение, звучал так «Хроническая обструктивная болезнь легких, хронический бронхит». Однако жалобы на симптомы, указанные выше, день ото дня нарастали.
Летом 2021 года пациент был обследован в Ивановском областном онкологическом диспансере, где ему поставлен диагноз «Рак левого легкого CT4NXM0. Плеврит слева».
По международной классификации TNM это расшифровывалось следующим образом:
20 сентября 2021 г. больному была проведена компьютерная томография (КТ ОГК) без применения контрастного вещества.
КТ-исследование, проведенное 4 августа, показало отрицательную динамику, что выражалось в ателектазе нижней доли левого легкого и субателектазе верхней доли.
У больного был обтурирован левый главный бронх, левый гемиторакс содержал жидкость, правое легкое находилось в состоянии викарного гиперпневматоза. Практически во всех долях были диагностированы 3-4 мм узелковые структуры.
Кроме того, органы средостения были смещены влево.
В заключении отмечалось наличие у пациента признаков левостороннего метастатического плеврита и узелковые изменения правого легкого.
Проведенная 10 ноября 2021 г. бронхоскопия выявила в трахее наличие свежей крови, поступающей при кашле из просвета главного долевого бронха. В заключение, в частности, отмечалось наличие обтурирования просвета главного бронха опухолевым образованием, имеющим бугристую поверхность, и некрозными участками.
Была проведена биопсия. Гистологическое и иммуногистохимическое исследования от 17.11.2021 выявили у больного плоскоклеточную неороговевающую низкодифференцированную карциному агрессивного типа (G3).
В Onco.Rehab состоялся онкологический консилиум, учитывая клинические данные, морфологические исследования, стадию развития заболевания, пациенту был рекомендован следующий план лечения: Атезолизумаб 1200 мг в/в в 1-й день; цикл 21 день, под контролем клинических анализов.

Терапию начали проводить с февраля 2022 года.
Совместно с иммунотерапией атезолизумабом проводилась интегративная терапия, включающая:
Также во время первого курса АЛФДТ была выполнена пункция плевральной полости слева, эвакуировано около 2-х литров жидкости, выполнена внутриплевральная химиотерапия цисплатином.
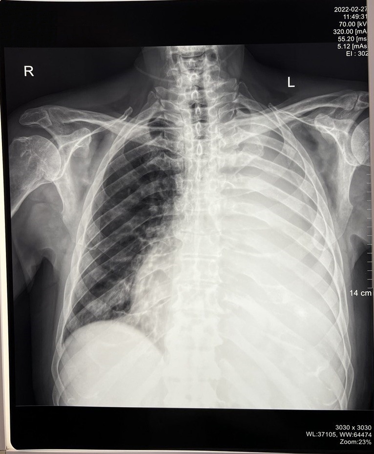
27 февраля 2022 г. была выполнена контрольная рентгенограмма, показавшая тотальный ателектаз левого легкого. Количество жидкости достоверно не было определено.
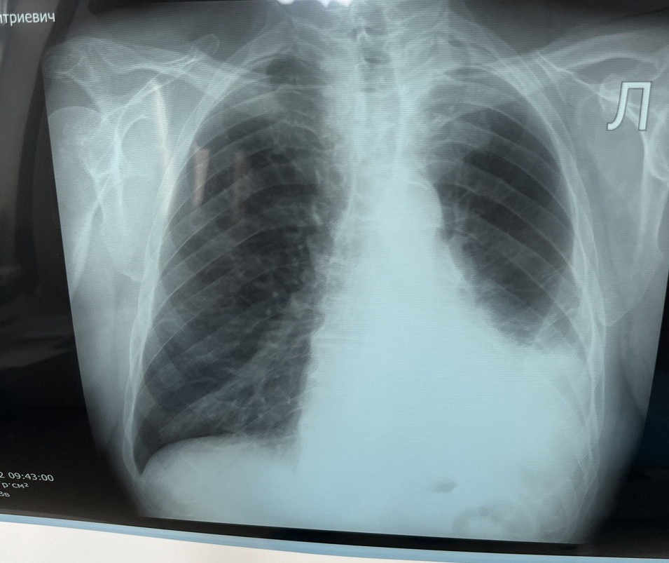
Контрольная рентгенография органов грудной клетки, выполненная в апреле 2022 г. показала положительную динамику, в частности, уменьшение гидроторакса до уровня 6-го ребра.

Компьютерная томография органов грудной полости с внутривенным контрастным усилением, проведенная 4 мая 2022 г., показала наличие патологического прикорневого солидного образования левого легкого с тотальной обструкцией нижнедолевого бронха и коллабированием нижней доли, а также двусторонний гидроторакс.
Общие размеры колабированной нижней доли с опухолевым конгломератом составляли 47х41х103мм. Патологическое накопление контрастного вещества тканью образования не было определено.
Терапия продолжалась по вышеописанной схеме.
12 августа 2022 г. была проведена мультиспиральная компьютерная томография органов грудной клетки с внутривенным контрастированием.
Исследование показало, что проводимое лечение методами интегративной онкологии привело к стойкой положительной динамике, отразившейся в:
Летом 2021 года пациент был обследован в Ивановском областном онкологическом диспансере, где ему поставлен диагноз «Рак левого легкого CT4NXM0. Плеврит слева».
20 сентября 2021 г. больному была проведена компьютерная томография (КТ ОГК) без применения контрастного вещества.
КТ-исследование, проведенное 4 августа, показало отрицательную динамику, что выражалось в ателектазе нижней доли левого легкого и субателектазе верхней доли.
Была проведена биопсия. Гистологическое и иммуногистохимическое исследования от 17.11.2021 выявили у больного плоскоклеточную неороговевающую низкодифференцированную карциному агрессивного типа (G3).
27 февраля 2022 г. была выполнена контрольная рентгенограмма, показавшая тотальный ателектаз левого легкого. Количество жидкости достоверно не было определено.
Контрольная рентгенография органов грудной клетки, выполненная в апреле 2022 г. показала положительную динамику, в частности, уменьшение гидроторакса до уровня 6-го ребра.
Компьютерная томография органов грудной полости с внутривенным контрастным усилением, проведенная 4 мая 2022 г., показала наличие патологического прикорневого солидного образования левого легкого с тотальной обструкцией нижнедолевого бронха и коллабированием нижней доли, а также двусторонний гидроторакс.
12 августа 2022 г. была проведена мультиспиральная компьютерная томография органов грудной клетки с внутривенным контрастированием.
Для того, чтобы попасть на консультацию/госпитализацию в ООО “Онкоклиника” Вам необходимо обратиться в поликлинику (онкологический диспансер) по месту жительства и получить направление (форма 057/у) с подписью лечащего врача и заверенное печатью лечебного учреждения.
Администратор связывается с пациентами сразу после проведения консилиума врачей (каждый четверг), на котором рассматривается медицинская документация пациентов и принимается решение о необходимом лечении.
Сеть клиник