Краткая справка по истории заболевания
Лечение до обращения Onco.Rehab:
Состояние до лечения в Onco.Rehab: прогрессирование заболевания. В 2016 году удалили большую грудную мышцу из-за метастазов. Через несколько лет начались проблемы с координацией, а в ноябре 2020 обнаружили метастаз в мозжечке – отделе мозга, который отвечает за передвижение. Лечение после обращения в Onco.Rehab:
Состояние после обращения в Onco.Rehab: победили метастаз в мозжечке, пациентке вернулась нормальная координация. Общая динамика – положительная. |
Пациентке поставили диагноз рак левой молочной железы T2N1M0 II B стадии. Врачи назначили лечение лучевой терапией, химиотерапией и удалением молчной железы.
Но в 2016 году рак вновь начал прогрессировать – повились метастазы в большой грудной мышце. Врачи удалили мышцу и назначили дистанционную лучевую терапию – лечение, которое убивает опухолевые клетки, но при этом сильно влияет на нормальную жизнедеятельность организма. После лучевой терапии специалисты назначили гормонотерапию тамоксифеном.
В 2018 году на очередном исследовании врачи обнаружили множественные метастазы в легких. Врачи решили продолжить гормонотерапию тамоксифеном и химиотерапию паклитакселом с карбоплатином. А для борьбы с метастазами назначили бисфосфонаты.
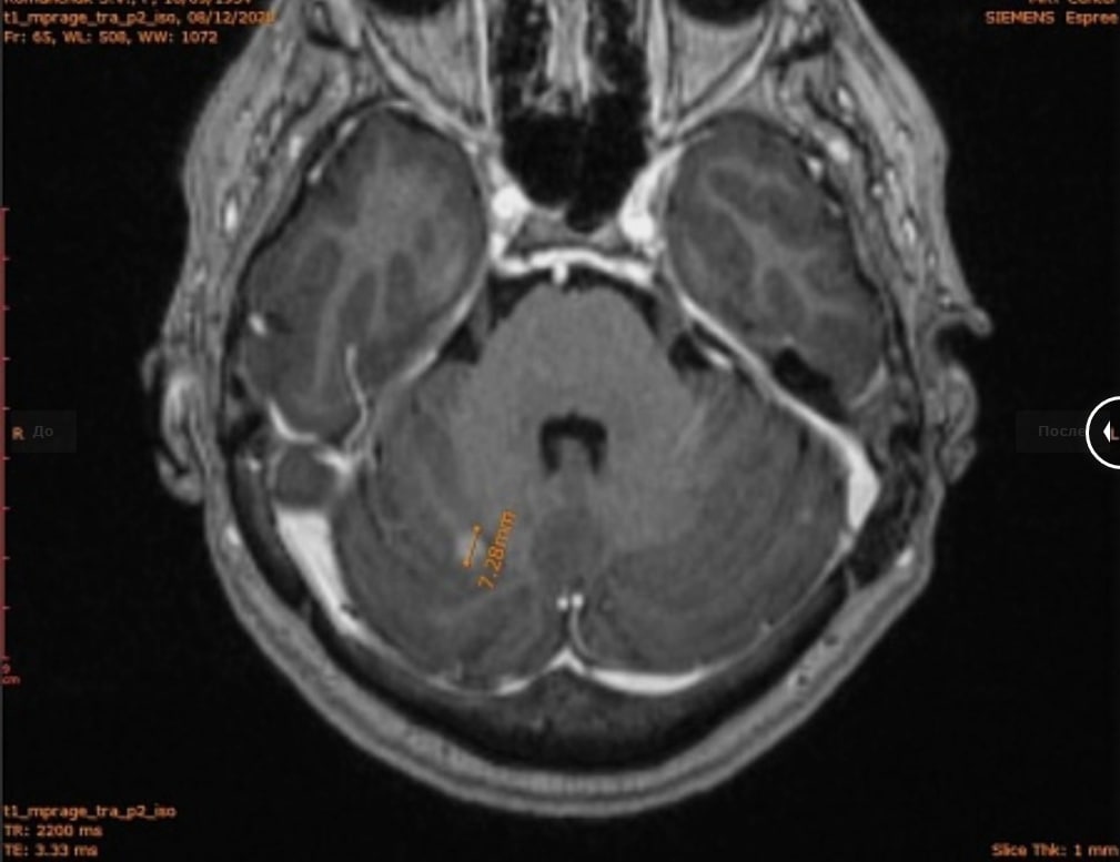
В 2020 году у пациентки появилась мозговая симптоматика. Один из главных симптомов – нарушение координции движений. В декабре врачи назначили ей МРТ головного мозга и нашли на нем очаг в мозжечке. Мозжечок – отдел головного мозга, который отвечает за координацию движений.

В декабре 2020 года пациентка обратилась в клинику Onco.Rehab
По поводу случая пациентки мы провели консилиум и решили назначить интегративные методы лечения совместно с традиционными. Главная цель лечения – избавиться от метастазов в мозжечке и вернуть пациентке способность нормально передвигаться.
Важно, что до обращения в нашу клинику другие специалисты рекомендовали больной пройти курс дистанционной лучевой терапии на весь объем головного мозга. Пациентка от этого метода лечения отказалась, потому что это агрессивный вид терапии, который сильно ухудшает состояние больного и сказывается на нормальной жизнедеятельности.
Поэтому в клинике мы продолжили лечение гормонотерапией и химиотерапией. А также добавили АЛФДТ с БОС и модулированную электрогипертермию.
АЛФДТ – улучшенный вариант фотодинамической терапии (ФДТ), разработанный клиникой Onco.Rehab. Суть метода ФДТ – в организм вводят препарат фотосенсибилизатор, который повышает чувствительность к излучению. Он разносится по организму и накапливается в клетках опухоли. И когда включают лазер – он устремляется к опухолевым клеткам и уничтожает их.
Главное отличие АЛФДТ от ФДТ – в глубине проникновения лазера. Если в ФДТ на рак действуют лазером с глубиной проникновения 6 мм (т. е. без дополнительных разрезов уничтожить глубокорасположенные опухоли не получится), то АЛФДТ уничтожает опухоли на глубине до 10 см.
Модулированная электрогипертермия – специальный вид лечения, при котором местно повышают температуру в ткани, из-за чего там нарушается кровоток и питание клеток. Клетка в таких условиях запускает апоптоз — программируемую клеточную смерть.
Пациентка прошла полный курс лечения и в результате нам удалось оказать максимальный лечебный эффект без тяжелой лучевой терапии и хирургического вмешательства.
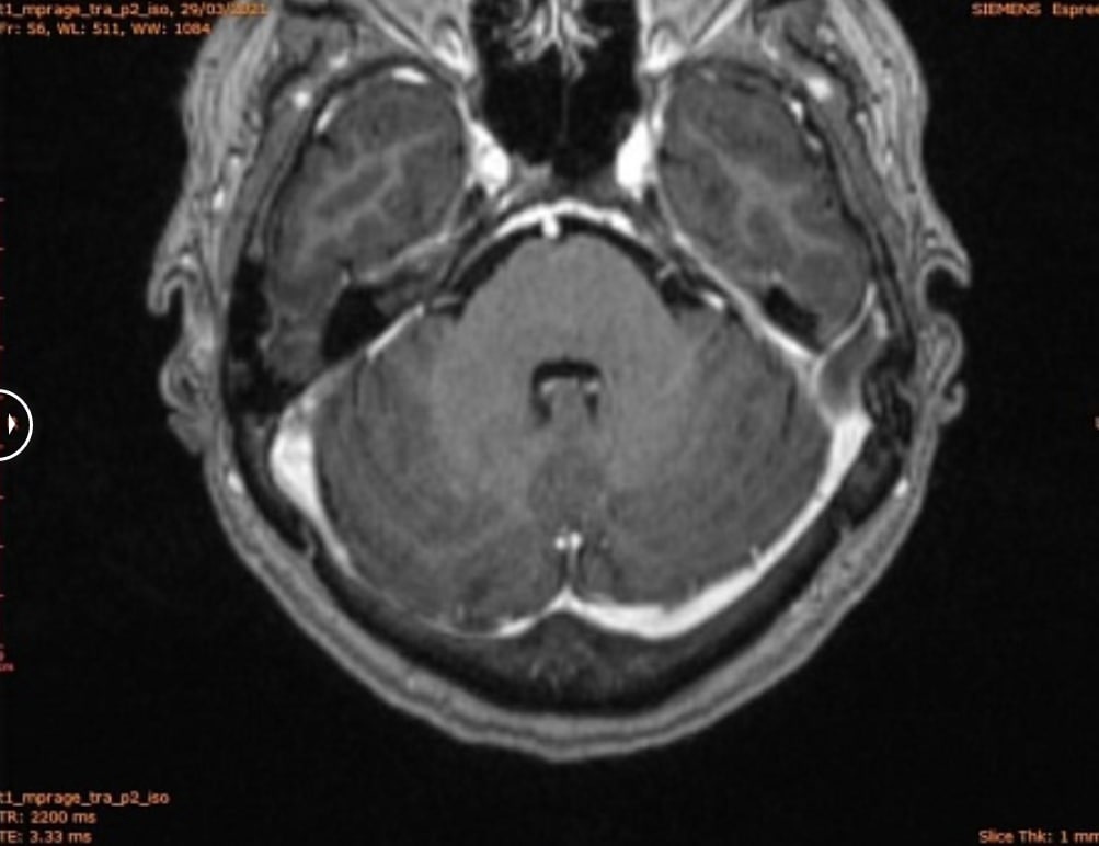
1 ферваля 2021 года на контрольном МРТ-исследовании головного мозга очаг в мозжечке исчез. А по заключению радиолога из МНИОИ им Герцена от 05.02.2021 стало ясно, что проведение ДЛТ на весь обьем головного мозга не показано.
На фоне терапии восстановилась координация движений и ушли симптомы поражения головного мозга. В общем у пациентки наблюдается положительная динамика. Интегративные методики в очередной раз доказали высокую эффективность в лечении онкологических больных.

Благодаря АЛФДТ и модулированной гипертермии мы избежали тяжелой терапиии, но при этом смогли побороть метастазы даже в головном мозге. А человек смог вернуться к прежнему качеству жизни.
В декабре 2020 года пациентка обратилась в клинику Onco.Rehab.
Противоопухолевая терапия пеметрекседом и бевацизумабом.
Терапия бисфосфонатами для борьбы с метастазами.
Модулированная гипертермия.
АЛФДТ с БОС.
Победили метастаз в мозжечке, пациентке вернулась нормальная координация. Общая динамика – положительная.
Для того, чтобы попасть на консультацию/госпитализацию в ООО “Онкоклиника” Вам необходимо обратиться в поликлинику (онкологический диспансер) по месту жительства и получить направление (форма 057/у) с подписью лечащего врача и заверенное печатью лечебного учреждения.
Администратор связывается с пациентами сразу после проведения консилиума врачей (каждый четверг), на котором рассматривается медицинская документация пациентов и принимается решение о необходимом лечении.
Сеть клиник